Bolivianos são presos com cápsulas de cocaína no estômago após abordagem na Rodovia Castello Branco em Itu
Suspeitos caminhavam às margens da rodovia quando foram abordados pela Polícia Rodoviária. Dois homens haviam ingerido cápsulas da droga e precisaram de atendimento médico.
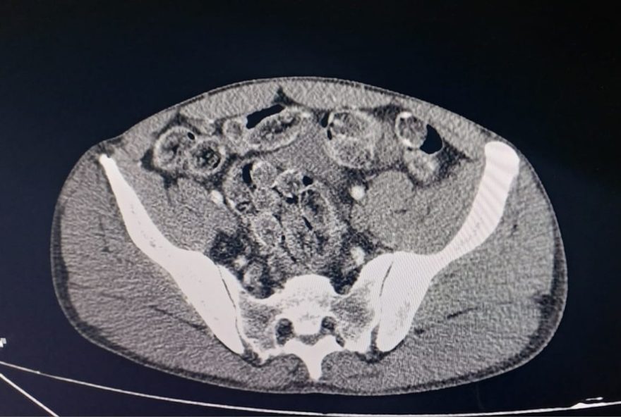
1 de 1 Dois dos detidos ingeriram cápsulas de cocaína e passaram por atendimento médico para expelir a droga. — Foto: Polícia Rodoviária/Divulgação
Dois dos detidos ingeriram cápsulas de cocaína e passaram por atendimento médico para expelir a droga. — Foto: Polícia Rodoviária/Divulgação
Dois homens e uma mulher de nacionalidade boliviana foram presos na tarde desta sexta-feira (23) após serem flagrados com cápsulas de cocaína na Rodovia Castello Branco (SP-280), em Itu (SP).
Segundo a Polícia Rodoviária, o trio caminhava às margens da rodovia, na altura do quilômetro 77, quando foi abordado pelos agentes. Durante a revista pessoal, foram encontradas cápsulas de pasta base de cocaína.
Os dois homens confessaram ainda ter ingerido parte da droga. Eles foram encaminhados ao Conjunto Hospitalar de Sorocaba (CHS), onde exames constataram a presença de cápsulas no estômago.
Ambos passaram por procedimentos médicos para a expulsão do material e permanecem em observação.
A mulher, que não apresentava droga no organismo, foi levada à Delegacia da Polícia Federal de Sorocaba, onde a ocorrência foi registrada.
No DE Sorocaba e Jundiaí no WhatsApp Participe do canal do DE Sorocaba e Jundiaí no WhatsApp.
Veja abaixo os vídeos mais acessados do DE.
Veja os vídeos que estão em alta no DE.
Veja os vídeos que estão em alta no DE.
Veja mais notícias da região no DE Sorocaba e Jundiaí.




