Menino descobre tumor no cérebro após atropelamento e toca sino da vitória contra o câncer em Divinópolis
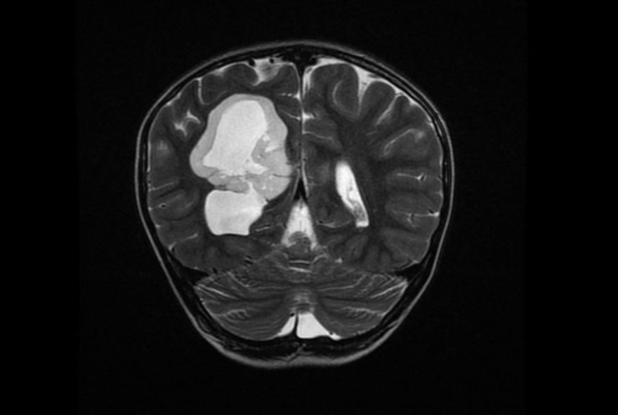
Heitor Israel, de 7 anos, passou por um grande susto no dia 1º de julho, quando foi atropelado a caminho da padaria em Pitangui. O que parecia ser apenas um acidente revelou algo muito mais sério: os médicos descobriram um tumor no cérebro durante os exames hospitalares. Após uma cirurgia delicada e meses de tratamento intenso, Heitor está em fase de recuperação, e sua mãe não hesita em chamar o processo de um verdadeiro milagre.
O acidente que mudou o destino da família de Heitor ocorreu em Pitangui, cidade localizada no Centro-Oeste de Minas. Enquanto seguia para comprar pão, ele foi atingido por um carro, resultando em um cenário inesperado: a descoberta do tumor no cérebro durante os procedimentos médicos. Após três meses repletos de desafios e expectativas, Heitor celebrou um momento emocionante ao tocar o sino da vitória na Associação de Combate ao Câncer do Centro-Oeste de Minas (Accom), em Divinópolis.
O tratamento de Heitor não foi uma jornada fácil. Em setembro, ele iniciou um protocolo com 30 sessões de radioterapia e quimioterapia diária em comprimidos. Sua mãe, Ianka, precisou se dedicar integralmente ao cuidado do filho e da filha mais nova, deixando de lado suas atividades profissionais. O apoio da família, amigos e até mesmo de uma vaquinha online foi fundamental para Ianka enfrentar os desafios diários e manter a fé na cura de Heitor.
Um dos momentos mais marcantes da trajetória de Heitor foi quando ele teve a oportunidade de bater o sino da vitória, simbolizando o fim de uma etapa árdua de tratamento contra o câncer. A cena emocionante foi descrita por sua mãe como um misto de alívio, alegria e gratidão. Apesar do momento de conquista, a batalha ainda não terminou. Em janeiro, Heitor passará por uma nova ressonância para avaliar a regressão do tumor, mantendo a família em um estado de fé, esperança e amor.
Após tudo o que passaram, Ianka reconhece a presença divina em cada etapa do processo: desde o acidente até o tratamento e a recuperação de Heitor. Ela acredita firmemente que a cura completa de seu filho está sendo preparada por Deus no tempo certo. A história de Heitor é um testemunho de superação, fé e amor familiar, reforçando a importância de nunca perder a esperança, mesmo nos momentos mais difíceis. O Diário do Estado se alegra com cada vitória e renascimento como o de Heitor, inspirando a todos a acreditarem na força da vida e na capacidade de vencer os desafios com coragem e determinação.




